eDermaStamp – Tiêu chuẩn vàng của lăn kim vi điểm chuyên nghiệp
Phương pháp vi kim eDermastamp là gì?
eDermastamp được coi là một trong những bước tiến trong lăn kim siêu vi thành công nhất hiện nay với những ưu điểm và hiệu quả rõ rệt khi so sánh với các phương pháp trị sẹo khác.

Liệu pháp cảm ứng Collagen vi điểm eDermastamp được chế tạo và sản xuất từ Cộng hòa liên bang Đức – cái nôi của các sản phẩm công nghệ y tế đạt chất lượng cao và bền vững theo thời gian. eDermaStamp là thiết bị y tế được chứng nhận theo tiêu chuẩn châu Âu và đạt được giải thưởng về sản phẩm thẩm mỹ năm 2013-2014.

Phương pháp này có khả năng thúc đẩy quá trình phục hồi da và tăng sinh collagen giúp làm đầy sẹo, đồng thời giảm sự xuất hiện của lão hóa và nếp nhăn.
Tại sao eDermastamp lại mang lại hiệu quả cao so với những vi kim lăn hiện nay trên thị trường. Bởi vì công nghệ này tạo nên sự khác biệt tối ưu nhất trong dòng các thiết bị kim lăn vi điểm giúp tăng sinh Collagen tự thân của cơ thể.
eDermastamp được coi là vi kim an toàn nhất trên thế giới
Các đầu kim được chế tạo từ nguyên liệu chuyên dụng cho phẫu thuật. Đó là các kim hình nón tạo ra các vết thương siêu nhỏ có thể tự bịt kín trong vài phút điều trị. Trong khi đó các thiết bị chất lượng kém hơn được chế tạo với kim hình dao cắt khi xuyên qua da có nguy cơ gây tổn thương da, mạch máu và thần kinh.
Mỗi lần làm liệu trình sẽ sử dụng đầu kim mới. Điều này giúp cho kim luôn giữ được độ bén, không bị mòn, giúp cho mô da ít bị tổn thương nhất nhưng lại đem lại hiệu quả cao nhất. Việc này sẽ giảm đau tối đa cho bệnh nhân, thời gian phục hồi ngắn và giảm nguy cơ tăng sắc tố sau khi làm liệu trình.
Vi kim eDermastamp với động cơ nhanh nhất trên thị trường
Với tốc độ 150 lần đưa kim/giây, eDermastamp có thể lướt trên da một cách an toàn mà không làm xước hoặc rách da. Bút kim khác có tốc độ đưa kim chậm hơn (100-120 lần/giây) có thể gây ra vết xước và vết rách nhỏ khi di chuyển. Kết quả có thể làm tăng tổn thương da, gây đau và tăng nguy cơ nhiễm trùng, phục hồi chậm hơn.
Với 6 đầu kim, cho nên mỗi giây sẽ có tới 900 đường dẫn được tạo thành trong da, giúp nới lỏng và phá vỡ mô xơ, đồng thời tăng những vi tổn thương giúp tăng hiệu quả tái tạo và tăng sinh collagen
Vi kim eDermastamp với số lượng đầu kim tối ưu
Bạn có từng đặt câu hỏi “Tại sao không làm tăng lượng đầu kim lên để tăng tác dụng điều trị da?” Lời giải đáp sẽ có ngay dưới đây.

Hãy thử tưởng tượng làn da ta như một quả cam. Nếu như 1 chiếc kim có thể dễ dàng xuyên vào vỏ thì với nhiều kim hơn sẽ rất khó để đâm vào trong mà không gây hỏng hay nát vỏ cam. Cho nên việc tối ưu số lượng đầu kim sao cho hiệu quả cao nhất mà lại không gây tổn thương da là một bài toán đau đầu mà các nhà nghiên cứu phải thử nghiệm rất nhiều mới lựa chọn thành công.

Không gây đau và thời gian phục hồi ngắn
Trong khi các phương pháp điều trị sẹo khác có tác dụng bóc tách phá hủy mô, eDermaStamp lại bảo toàn tính toàn vẹn của da. Do phương pháp này hạn chế tối đa tổn thương không cần thiết tác động lên da cho nên làn da gần như không bị ảnh hưởng bởi sự kích thích thần kinh gây đau và sự phục hồi da cũng nhanh hơn rất nhiều.
Những bệnh nhân sử dụng phương pháp này thường sẽ chỉ mất từ 2 tới 3 ngày nghỉ dưỡng để da phục hồi gần như hoàn toàn. Nên khách hàng hoàn toàn có thể chủ động và thuận tiện cho sự sắp xếp công việc trong thời kì xã hội bận rộn như hiện nay.
Hiệu quả rõ rệt bằng phương pháp vi kim eDermastamp
Khi nói đến phương pháp điều trị xâm lấn tối thiểu, liệu pháp cảm ứng Collagen vi điểm với eDermaStamp đã được chứng minh lâm sàng đạt hiệu quả trên nhiều bệnh nhân. Và có lẽ đây là phương pháp điều trị thành công nhất hiện có đối với các dấu hiệu và triệu chứng phổ biến của mất collagen như sẹo lõm, lão hóa da gây nếp nhăn và da sần sùi.
Phương pháp này kích hoạt tối đa quá trình chữa lành tự nhiên của cơ thể, giúp kích thích tăng sinh tế bào và hình thành collagen mới. Điều ngày dẫn tới một ma trận tế bào dày và dẻo dai hơn
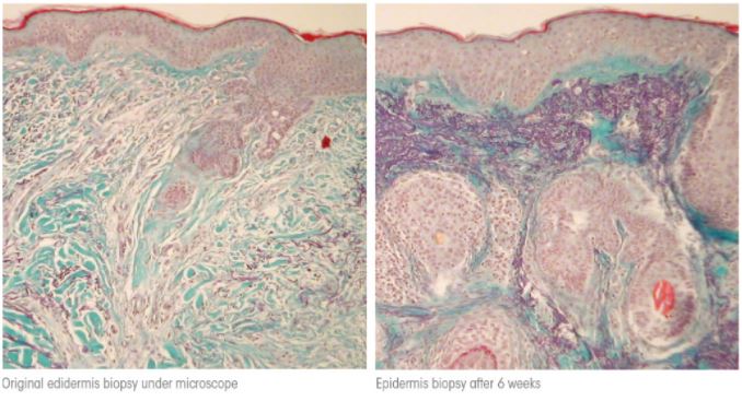
Dưới đây là hình ảnh sinh thiết của biểu bì trước và sau khi điều trị
Collagen (nhuộm màu tím) được sinh mới đáng kể sau 6 tuần điều trị

Chứng minh lâm sàng
Điều trị sẹo sau mụn:

Điều trị sẹo, thâm sau mụn:
